Chat with us on WhatsApp

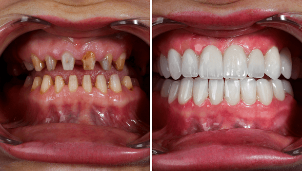
Before & After

Watch the incredible transformations of our patients.

Lucia

CLAUDIO

MASSIMO

Alessia

FRANCO

ANTONIO

VSERLO

DONATELLA